軟部外科
軟部外科は、整形外科・神経外科・口腔外科・眼科以外の全ての体の部分に関する外科です。
動物では、心臓や肺などの胸部外科や肝臓・胆のう・脾臓・消化管・泌尿生殖器などの腹部外科がよく遭遇する軟部外科の病気です。
症例紹介

子宮蓄膿症

会陰ヘルニア

尿管結石

短頭種気道症候群

先天性 門脈体循環シャント

気管虚脱

膀胱結石

胆嚢粘液嚢腫

フィラリア

胆嚢粘液嚢腫

ストラバイト結晶

気管虚脱

胆嚢破裂

腎臓結石・膀胱結石

膀胱結石

門脈体循環シャント

肝酵素上昇(腹腔鏡下肝生検)

避妊手術(腹腔鏡下)

膀胱結石

肝臓生検(腹腔鏡下)

尿路結石(SUB)

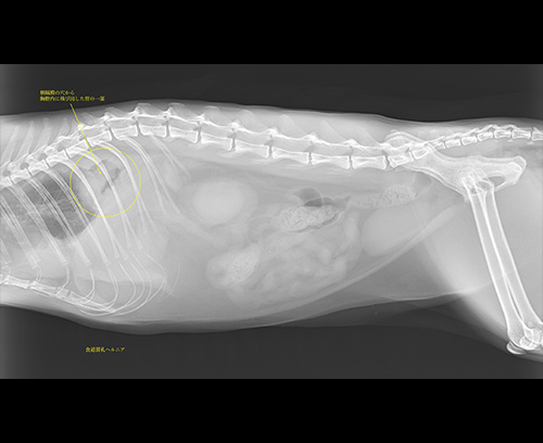
食道裂孔ヘルニア

黄疸(胆嚢粘液嚢腫)

食道裂孔ヘルニア

尿管結石
腫瘍外科
腫瘍外科は、動物の体の表面にある皮膚の腫瘍(できもの)から眼に見えない体内の腫瘍まで様々なものに対応します。
動物も高齢化とともに色々な腫瘍を患います。
腫瘍の治療方法は種類によって様々ですが、手術が一番効果的な腫瘍は数多くあり、その場合手術で腫瘍を摘出することで動物の寿命や生活の質を向上することができます。
症例紹介

脾臓腫瘍

乳腺腫瘍からの肺転移

口腔内腫瘍(悪性黒色腫)

肥満細胞種(悪性腫瘍)

悪性腫瘍リンパ節転移

小腸の悪性腫瘍(腸腺癌)

脾臓の悪性腫瘍(肉腫)

皮膚腫瘍(毛芽腫)

肝臓腫瘍

骨肉腫(骨の悪性腫瘍)
脳脊髄外科
ミニチュアダックスフンドで有名な椎間板ヘルニアや脊椎と呼ばれる、頭まからしっぽまでの体の軸をなす骨の連なりの骨折や脱臼は、脊髄外科が治療の選択肢の一つです。また獣医療の診断レベルが上がったことにより、手術で治せる可能性のある脳腫瘍への理解も深まってきました。
症例紹介

椎間板ヘルニア(頸部)

てんかん

脳腫瘍

椎間板ヘルニア(胸腰部)

椎間板ヘルニア

椎間板ヘルニア(頸部)

水頭症

脳腫瘍

椎間板ヘルニア(胸腰椎)

椎間板ヘルニア(胸腰椎)

水頭症
整形外科
整形外科は骨の骨折やヒビ、関節の脱臼や形の異常、靭帯の損傷などの病気をはじめ、生まれながらに持っている骨の異常にも対処することができます。
当院では各動物の状態は病気に合わせた方法を取れるよう、様々な整形外科の治療方法を備えています。
症例紹介

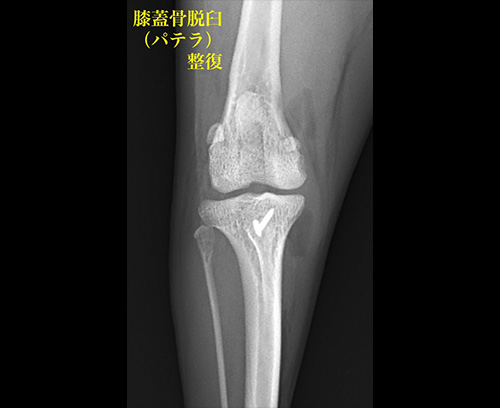
膝蓋骨(パテラ)脱臼

大腿骨頭壊死症
(レッグ・カルベ・ペルテス病)

骨折

前十字靭帯断裂

中足骨骨折

大腿骨頭壊死症
(レッグ・カルベ・ペルテス病)

股関節脱臼

前十字靭帯断裂(TPLO)

脛骨骨折

大腿骨頭壊死症
(レッグ・カルベ・ペルテス病)

前十字靭帯断裂(TPLO)

橈尺骨骨折

肩関節脱臼

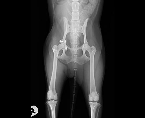
骨盤骨折(交通事故)

橈尺骨骨折

膝蓋骨(パテラ)内方脱臼

大腿骨骨折

前十字靭帯断裂(TPLO)

股関節形成不全

橈尺骨骨折

膝蓋骨(パテラ)脱臼

膝蓋骨(パテラ)脱臼

十字靭帯断裂(TPLO)

汎骨炎(大型犬)

骨折

股関節脱臼(整復後)

股関節脱臼

前十字靭帯断裂(TPLO)

膝蓋骨脱臼

前十字靭帯断裂(TPLO)

中手骨骨折
口腔外科
口腔外科は、歯周病によるスケーリング・抜歯・歯肉(はぐき)の縫合、口の中にできた腫瘍(できもの)の摘出をはじめ、唾液腺の病気や、短頭種(パグ・ブルドッグ・ペルシャ猫・エキゾチック猫など顔の長さが短い動物)に起こりやすい喉の病気など様々なものに適応されます。
症例紹介

歯石

歯石・歯肉炎
脳神経科
脳神経科は、脳・脊髄・神経・筋肉などの病気に対応します。
動物の中でも特にワンちゃんは多くの脳神経の病気にかかることが分かってきています。
ネコちゃんも数は少ないものの、脳神経の病気を患うことがあります。
脳神経の病気は、周りから見て明らかなもの(発作、けいれん、マヒなど)から詳しい検査をして初めてみつかるもの(手足などの細かい神経の異常)と様々です。
症例紹介

てんかん

脳腫瘍

椎間板ヘルニア(胸腰部)

椎間板ヘルニア(頸部)

水頭症

脳腫瘍

椎間板ヘルニア(胸腰椎)

椎間板ヘルニア(胸腰椎)
循環器・呼吸器科
循環器・呼吸器の異常は動物に非常に多い病気です。
生れながらに持ったものから、歳をとると共に発症したり進行するものと様々です。
循環器は血液循環・心臓・肺などに関して、呼吸器は喉・気管・気管支などに対処します。
循環器と呼吸器は、初期の段階では「元気や食欲がなんとなくない」などわずかな症状しか出ず、進行すると重傷になるものも多いです。
獣医療の進歩とともに検査や治療も発展し、より早い段階で病気をみつけ対処することで救われる動物が数多くいます。
症例紹介

僧帽弁閉鎖不全症

短頭種気道症候群

気管虚脱

フィラリア

気管虚脱

腹腔内腫瘍からの肺転移(CT)

僧帽弁閉鎖不全症

心筋症

膿胸

肺腫瘍

鼻腔内腫瘍(リンパ腫)

鼻腔内腫瘍(腺癌)
消化器・肝胆膵科
消化器・肝胆膵科では口・唾液腺・食道・胃・小腸・大腸・肛門までの消化管の幅広い領域と肝臓・胆嚢・膵臓の病気を診ます。
幼少期の動物に多い異物の誤飲、成長期以降に多い炎症性の病気(口内炎・唾液腺炎・肛門のう炎・肝炎・胆嚢炎など)、高齢期に多い消化管・肝臓・胆のうのガンや、胆のう粘液のう腫など、年齢によって起こりやすい病気もあれば、膵炎・胃腸炎などどの年齢でもかかる可能性のある病気などがあります。
これらのほとんどの病気は、初期は吐きや下痢、食欲や元気の低下など、同じ症状を示します。
症例紹介

胆嚢粘液嚢腫

口腔内腫瘍(悪性黒色腫)

悪性腫瘍リンパ節転移

糞線虫

寄生虫(コクシジウム)

小腸の悪性腫瘍(腸腺癌)

胆嚢破裂

誤食(骨)

肝臓腫瘍

門脈体循環シャント

便秘

消化器型リンパ腫

肝酵素上昇(腹腔鏡下肝生検)

内視鏡による異物摘出

肝臓生検(腹腔鏡下)

食道裂孔ヘルニア

黄疸(胆嚢粘液嚢腫)

食道異物

食道異物による閉塞(おやつ)

食道異物

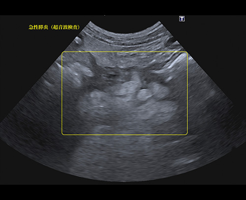
急性膵炎

食道裂孔ヘルニア
皮膚・アレルギー科
皮膚は暑さ・寒さ・光など外からの刺激から体を守る働きをしていて、動物の場合はそのほとんどが毛に覆われています。
この皮膚のバリア機能が崩れると、外からの刺激や病原体への防御力が下がり、様々な皮膚病になります。
また、アレルギーの原因となる環境中のアレルゲンや体内からの食物性アレルゲンへの影響を最も受けやすい部位です。
皮膚病やアレルギーはどのような種類の犬・猫・うさぎなどの小動物でも起こりうる病気で、近年増えている傾向にあります。
症例紹介

耳血腫

カイセン(疥癬)

ニキビダニ(毛包虫)

肥満細胞種(悪性腫瘍)

皮膚腫瘍(毛芽腫)

肺癌による前肢への転移

ミミヒゼンダニ

細菌培養による薬剤感受性試験
血液・内分泌科
血液の病気には自己免疫障害や他の病気による二次的なものなど様々な原因で起こる貧血や出血性疾患、内分泌の病気には糖尿病や高血圧、あるいは甲状腺・副腎・下垂体などのホルモンの異常に関わるものがあります。
近年の獣医療の発展により、動物の平均寿命が延びたことで加齢に伴う病気が増えています。
血液や内分泌の病気は初期にほとんど症状がありませんが、早期にみつけることにより重症になる前に対処することができます。
症例紹介

猫 糖尿病(蹠行:かかとをつけて歩く)

副腎腫瘍(クッシング症候群)

脾臓腫瘍

脾臓の悪性腫瘍(肉腫)

副腎腫瘍(クッシング症候群)

リンパ腫(消化器型)

下垂体腫瘍(脳)

多発性骨髄腫
腎泌尿器・生殖器科
腎泌尿器・生殖器科は、尿が作られて体の外へ排出されるまでの経路である腎臓・尿管・膀胱・尿道・外陰部に加え、オスでは前立腺・精巣、メスでは卵巣・子宮などの病気に対応します。
腎臓は尿を作るだけでなく、水分の保持・血液の生成・電解質のバランス・老廃物の濾過など様々な役割を持つなくてはならない存在です。
またワンちゃん・ネコちゃんに多いおしっこの病気は腎臓から尿道までのどこかの異常によって起こります。
生殖器の病気は中齢期以降に急激に増え、オスでは前立腺、メスでは子宮の病気の発症率が上がります。
症例紹介

腎結石

乳腺腫瘍

乳腺腫瘍からの肺転移

ストラバイト結晶

乳腺腫瘍からの肺転移

腎臓結石・膀胱結石

膀胱結石

細菌培養による薬剤感受性試験

尿路結石(SUB)

尿管結石
耳鼻咽喉科
動物にもっとも多い耳の病気は外耳炎ですが、それ以外にも中耳炎・前庭疾患(平衡感覚が失われる病気)・耳血腫(耳介に血液がたまる病気)など、鼻の病気には鼻炎・外鼻孔狭窄(鼻の穴が生まれつき狭い)など、そして咽頭の病気にはポリープ・軟口蓋過長(のどのスペースが生まれつき狭い)・喉頭マヒ(のどから上手に呼吸ができない)など、他にも色々なものがあります。
動物の耳・鼻・のどの形や特徴は種類によって全く違うため、犬種・猫種に特有の病気、あるいは年齢によってなりやすい病気など様々です。
症例紹介

短頭種気道症候群

耳血腫

ミミヒゼンダニ

真珠腫(耳)
眼科
眼科では、眼球を作っている角膜(表面)・水晶体(レンズ)・ブドウ膜(血管膜)・網膜(眼球の裏)や、その周囲の眼瞼(まぶた)・睫毛・結膜・鼻涙管・視神経などの病気を扱います。
動物は、ものが見えにくい・視野が狭くなった・眼が痛い・眼が乾くなどの違和感を上手に訴えることができません。
日頃からご自宅で目の様子を左右で比べたり、動物が目やその周辺を執拗に気にしていないか注意してあげることで早期発見につながります。
症例紹介

チェリーアイ(瞬膜腺脱出)

白内障(過熟)

睫毛重生(逆まつげ)

網膜剥離

ぶどう膜炎(水晶体起因性)

角膜ジストロフィー